图知网
搜索
首页
热门推荐
图片分类
经常在x线胸片或ct检查报告中看到"两肺纹理增多增粗"这样的影像描述
下载原图
相关图片
丁香园
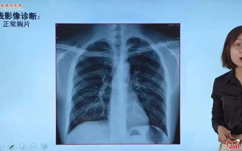
影像-正常胸片
影像解剖入门 | 正常胸片怎么看?
影像解剖入门 | 正常胸片怎么看?
正常胸片(这 10 张经典胸片,影像医生看完都分享了)
丁香园论坛
为你推荐
了解这11位设计大师你大概就了解日本设计了
少女时代黑海(少女时代 黑海)
上海地铁6号线列车
fgo 千子村正3t唠唠叨叨邪马台国高难~开启魔天吧
客厅移门立面图
满额包邮多肉【稻田姬美人】含盆土喜光照新手好养阳台室内防辐射
小姐姐泳装秀,肤白如雪,长腿真是让人着迷不已!
雷子曰 : 飞翔吧青鸟!