图知网
搜索
首页
热门推荐
图片分类
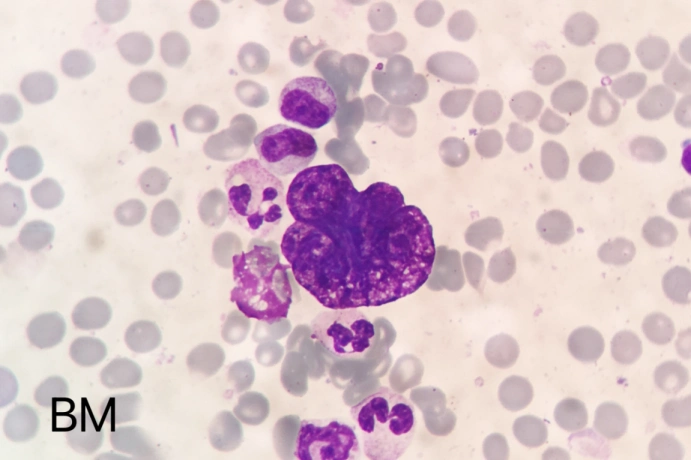
裸核细胞很多怎么报?2016.3.31【91360细胞沙龙案例27】
下载原图
相关图片
裸核型巨核细胞 29
裸核细胞很多怎么报?2016.3.31【91360细胞沙龙案例27】
裸核细胞很多怎么报?2016.3.31【91360细胞沙龙案例27】
▼「小细胞癌细胞」形态特征:细胞体积较小,核呈不规则形,畸形,三角形
原始巨核细胞;2.幼稚巨核细胞;3.颗粒巨核细胞;4.
骨髓细胞学检查:有核细胞增生明显活跃,粒红两系比例及形态大致正常
为你推荐
北极熊炫耀她的爱耳婆子
渡人者,得人心,在 - 抖音
和王一博传绯闻,华谊千金帮她出头,家里破产的綦美合依然惹人羡_陈飞
平成三杰vs奥特兄弟,哪边更强
幸福院第10集-电视剧-完整版免费在线观看-爱奇艺
五支装椎间孔镜刀头低温等离子电极骨科射频消融整盒五支价
都说下巴兜财,可我这下巴短的简直没眼看,可能这也是_圈子-新氧美容
beyond阿涛指弹吉他独奏真的爱你吉他谱