图知网
搜索
首页
热门推荐
图片分类
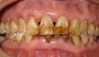
孩子牙齿上的黑色素是什么可以去除吗
下载原图
相关图片
牙齿出现黑斑,像是污渍,却抠不掉刷不掉,这是怎么回事?
最近几个月发现右侧门牙多处一条黑色的长条状的我也不知道是什么,谁
氟斑牙会遗传吗?
牙齿出现好多黑斑怎么回事
门牙补完牙之后还有黑的?
两颗门牙中间黑了应该怎么处理呢?门牙左边
为你推荐
博君一肖女孩最可爱 的喜欢
两个字文艺森女系小清新网名爆款doc
夏日冷饮水果茶饮料png素材西瓜元素夏天卡通手绘饮品水果茶人物素材
原创皇后乐队主唱佛莱迪的生前挚友回忆司机和经纪人伤透了他的心
她的老公是富商,对她也很好,现在偶尔能在网上看到岳翎分享的照片,50
戒糖- 堆糖,美图壁纸兴趣社区
何时公布测量结果专家详解珠峰高程测量15问
万吨大驱105大连舰,刚刚完成了为期28天的远海战备巡逻任务.