图知网
搜索
首页
热门推荐
图片分类
读教育心理学十一
下载原图
相关图片
额肌
额叶
图8-5 大脑半球额叶的眶面(二)顶叶顶叶可区分为背外侧面及内侧面.1.
医学新时代
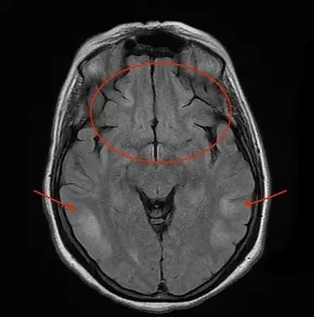
flair 示双侧额叶内侧,岛叶皮层(圈示)和颞叶后部(箭头)
图1 t2wi双侧额叶皮层异常信号
为你推荐
韩式无骨炸鸡纯肉拼盘图片
不亏,矮个子增高神器#增高厚底鞋 #帆布鞋 #日常穿搭 #匡威高帮
童年时光美梦成真双十一主kv预热插画
hushed roar
道家功法《雄功:男性性气功》
古城小巷
《天行九歌》纤云弄巧, 佳人如玉, 她不仅长得好看还演技一流
藏传佛教藏式布料天棚佛顶罩子佛堂装饰伞盖幡盖佛教工艺品