图知网
搜索
首页
热门推荐
图片分类
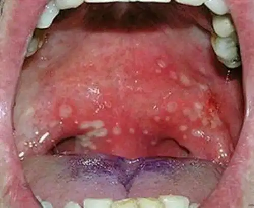
疱疹性咽峡炎咽峡周围有血点和小疱图
下载原图
相关图片
小孩疱疹性咽峡炎几天能退烧
诊间日记##疱疹性咽峡炎
患者宣教手册:得了疱疹性咽峡炎如何在家护理?
诊间日记##疱疹性咽峡炎
疱疹性咽峡炎进入高发期,如何防治看这里
小孩疱疹性咽峡炎几天能退烧
为你推荐
珠海会所_珠海桑拿会所_珠海桑拿网
pvc管等径正三通upvc塑料给水管配件接头国标化工管件耐酸碱三佑 dn15
教你怎么辨别以长春市万寿寺为例的皇家寺院和普通寺院!
古风男生头像 晚霞洒遍鲜花 都不如你这朵玫瑰惹人喜爱373130
愿 2009年作 120*100cm在谢楚余的作品里,一个个美丽动人的形象已不再
第五期《全员加速中》——武侠争霸中,猎人队长李学庆脱下西装墨镜,换
五一劳动节主题画 小女孩儿童画
丰田海狮进口商务车,就是空间大_凤凰网汽车_凤凰网