图知网
搜索
首页
热门推荐
图片分类
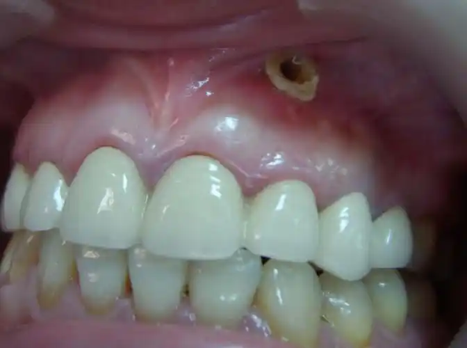
牙根尖炎如何快速消炎?这几个方法你一定要知道
下载原图
相关图片
牙龈肿痛流脓,你可能得了根尖周脓肿!会对牙齿造成这3大影响,尽早治疗
根尖周炎
上前牙窦道型慢性根尖周炎一例
如果有牙髓炎和根尖周炎,就需要接受根管治疗.何时需要根管治疗?
根尖周炎
上颌前牙根尖囊肿摘除即刻种植一例
为你推荐
【博君一肖】王一博 肖战 陈情令剧照
原创斗罗大陆103:小舞受伤,唐三怒了!戴沐白:这局稳了.
拜登儿子实力坑爹五毒俱全吸毒淫乱出轨大嫂
一世纪出版社这本绘本讲述了稻草人离开农场出去流浪活出了自我的故事
南宁2021年03月五菱五菱凯捷2020款15t自动旗舰型白色自动档
小叶黄杨木雕人物家居风水雕刻手工艺品佛像三星摆件福禄寿
比比赞高粱饴拉丝软糖果水果糖山东特产儿时怀旧零食小吃休闲食品约40
在手机上查看商标详情