图知网
搜索
首页
热门推荐
图片分类
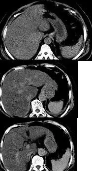
肝硬化影像学表现
下载原图
相关图片
多图读懂肝硬化的影像学表现
肝硬化
不畏酷暑辛劳 大医普惠洛阳 失代偿期肝硬化骨髓治疗实录 - 好大夫
肝硬化题库
早期肝硬化伴肝内胆管结石
肝硬化腹水
为你推荐
温柔又很甜可爱呆萌宠物小猫咪头像 治愈系高清小猫头像合集_动物头像
陈赫十年发福11.7公斤,大四时试镜《爱情公寓》,比如今瘦两圈
张若昀在微博上写的11个字,被盲猜会出轨?
七度空间特薄产品创意广告
有些女生明明不胖,小腿却粗壮,教你三步消灭肌肉腿,快练起来吧
泰德大酒店热菜菜谱
教程表情简笔画害羞害羞表情包简笔画捂脸治愈系小萌妹害羞的女孩子简
【风光类】福州·糖槭