图知网
搜索
首页
热门推荐
图片分类
dnf黑暗骑士是什么职业(dnf新职业男暗夜使者)
下载原图
相关图片
暗殿骑士二觉 裁决女神
技能演示暗殿骑士
dnf高冷黑暗的御姐暗殿骑士美术设定一览
【dnf 极诣·暗殿骑士】暗影盛宴灭天地,裁决剑下皆蝼蚁
暗殿骑士二觉详解①
dnf同人暗殿骑士暗帝三绝
为你推荐
从头再来贾乃亮离婚风波后首亮相剃板寸
双列 角接触 深沟球型轴承3219m
第五人格守墓人囚徒邮差lofter鱼叉子
超级玛丽玛里奥马丽路易蘑菇问号砖头金币合金属饰品衣领胸针徽章
迷你特工队大电影定档11月11日
玻璃自爆很危险
7月11-12日《领袖健康训练营》易筋洗髓养生功让我们来一次身体的洗礼
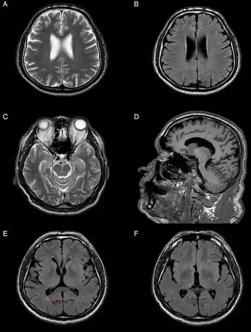
图 1.(a,b 和 d)脑 mri 显示双侧额叶萎缩.(c)颞叶是正常的.