图知网
搜索
首页
热门推荐
图片分类
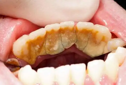
牛奶不刷牙的习惯,家人也总是由着他的性子,眼看着孩子的牙齿慢慢变黑
下载原图
相关图片
那些20年不刷牙的人,牙齿还好吗?你最长有多久没刷牙?
男子20年不刷牙,牙齿居然都烂完了!
19岁少年牙齿全烂掉,只因一个坏习惯,大部分孩子居然都有!
七岁小孩子很少吃糖但牙齿全烂了医生气愤的说家长太无知
小朋友一定要每天刷牙,使用牙线,要保护好牙齿哦
19岁高中生一口牙齿拔掉8颗,折断10颗!
为你推荐
青丝原创汉服头饰超仙流苏发夹新娘红色古风发饰
屋顶保温层一般都怎样做的?保温层有必要做防水吗?
唯美的夕阳 父母辈喜欢的头像
「失眠澄海平价夜宵」小龙虾2斤0650.
一耳机插头接线定义图
车前草是一种常见的草药,具有清热解毒,利尿消肿,止咳祛痰等功效,还
各种运动简笔画图片各种运动简笔画图片风采
【自改展示】shf 自改 早期 白化 托雷基亚奥特曼 shf