图知网
搜索
首页
热门推荐
图片分类
颅脑ct怎么看?正常和异常影像分别是什么?干货满满!
下载原图
相关图片
基底节区结构基底节(basal ganglia)(又称基底神经节)是指从胚胎端脑
基底节区层面颅脑ct断层解剖
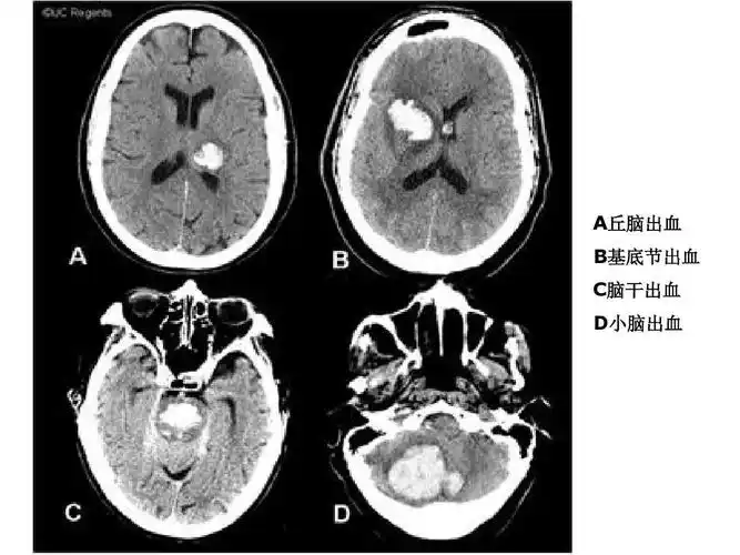
医学影像学 头颅 诊断 ct 头颅ct解剖及诊断 a丘脑出血 b基底节出血 c
基 线 上 40mm 第三脑 室前部层面: 重点观察内囊, 基底节和丘脑
基底节区结构基底节(basal ganglia)(又称基底神经节)是指从胚胎端脑
ct提示左侧基底节,丘脑,颞叶,枕叶广泛性脑出血.
为你推荐
第192波纯文字表情包
【转载】【制作网页素材篇】唯美素雅背景素材
激动的给你来个亲亲
lol英雄联盟 涤魂圣枪 赛娜 senna 星之守护者 手机壁纸
二维动画矢量场景设计
卡通红豆
世界上最大的飞禽翼展超3米雄性和雌性在喙部存在不同之处
雨点电子教材