图知网
搜索
首页
热门推荐
图片分类
立竿见影精准排雷高危老年胆囊炎患者救治介入超声解难题
下载原图
相关图片
胆囊息肉斗争多年中医彻底改变了他的想法
胆囊胆固醇息肉
淄博市中西医结合医院开展经皮经肝胆囊穿刺引流术
图片浏览
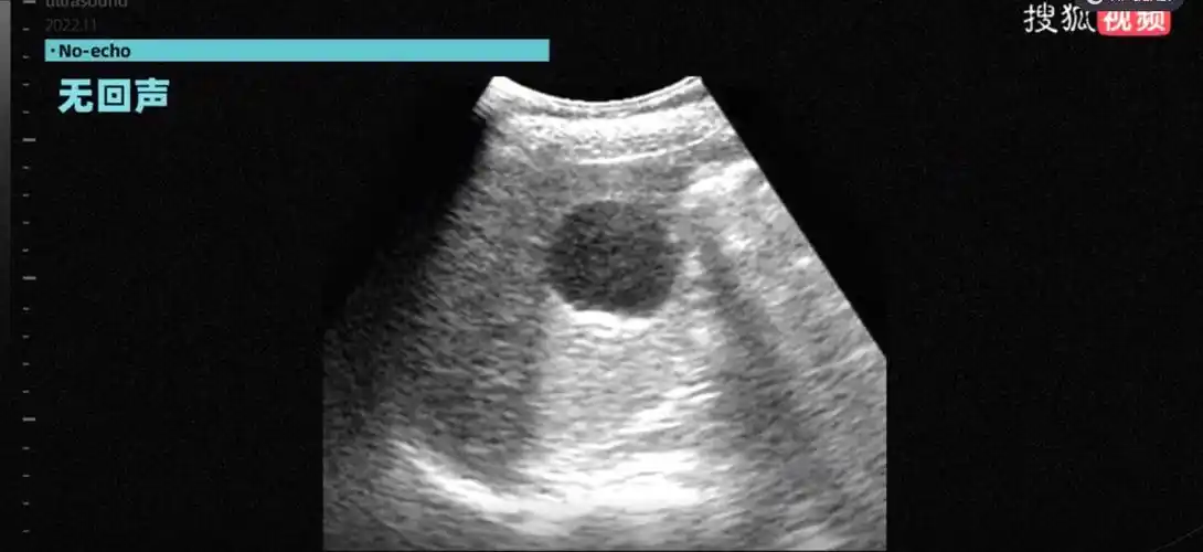
b超"回声"大揭秘:胆结石是怎么被发现的?_超声_图像_反射
患者胆囊穿孔伴胆囊周围包裹性积液,此时患者已出现明显腹膜炎症状,经
为你推荐
情侣牵手背影图片
救命短圆脸舒畅怎么变长脸了撞脸李菲儿
潮流霓虹灯立体艺术数字2021
绝伦帝电表箱装饰画,简单易 - 抖音
南京路小学二年级"创意时钟"活动
重要通知气泡框艺术字
周深工作室logo图片白色主题周深周深穿白色衣服和粉丝打招呼周深深
《撒野》c大调双手简谱