图知网
搜索
首页
热门推荐
图片分类
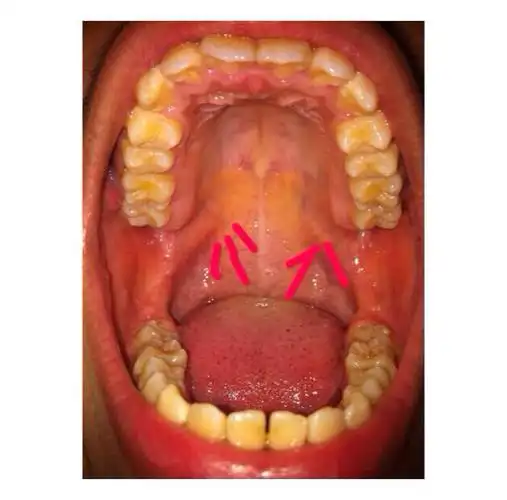
请问口腔内壁上那些突起肿块是什么看的话
下载原图
相关图片
我的口腔正常么?还有突出的是什么,感觉是
口腔科医生会建议口臭的人用什么牙膏
正常情况下人的口腔是不会有明显异味的.
正常口腔黏膜及常见病损图
正常口腔黏膜及常见病损图
成都秉正堂中医馆陈龙治疗口腔上腹烧灼疼痛
为你推荐
表情简笔画矢量图
千古玦尘 上古/后池 周冬雨
马嘉祺,你不是高考失利,更不是高考落榜,压根就是学渣|本科|高考成绩
蝴蝶心脏滴胶树脂项链
屋顶防水补漏材料丁基卷材楼房顶裂缝防水胶带强力防漏水贴纸堵王
台湾地区青少年开启福建寻根之旅促两岸青年交流
各种职业简笔画各种职业简笔画图片大全集
手摇钻手钻手动打孔器 多功能迷你木工家用万用手工钻孔工具 3/8英寸