图知网
搜索
首页
热门推荐
图片分类
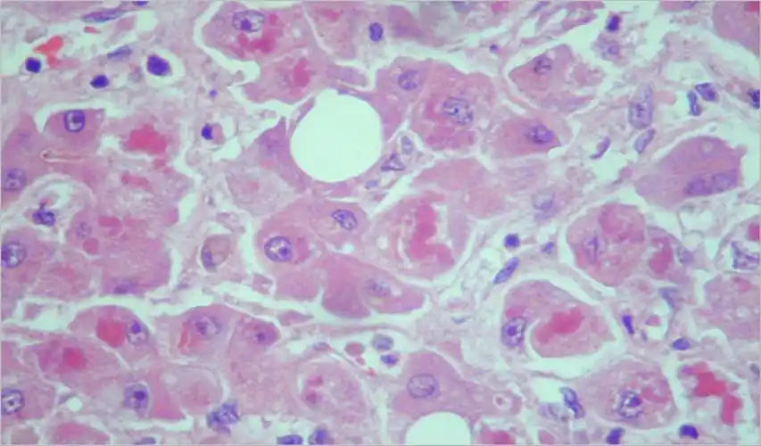
【求助】mallory小体
下载原图
相关图片
mallory 小体
手把手病例剖析:新发腹水,肝酶异常,如何诊断?
急性酒精性肝炎:mallory小体,肝细胞坏死,胶原沉积,脂肪变
巴尔小体(barr body) l.barr(1949年)
肝病病例
各位老师好,本人工作经验不足,碰到一标本cbc除血小板极低外, 其他
为你推荐
瑜伽服让你变身"九头身"女神|高腰|上衣|穿搭|身材比例_网易订阅
♡李溪芮 裸足__财经头条
婚礼当天最全流程表,照着做就对了!
韩剧扛把子李敏镐新剧高清帅气照公开
博韦大教堂
ins风简约小花海报设计时尚
辛丑条约
山水sansuisp210家庭ktv音响k歌套装卡拉ok家用ktv卡包音箱家庭影院