图知网
搜索
首页
热门推荐
图片分类
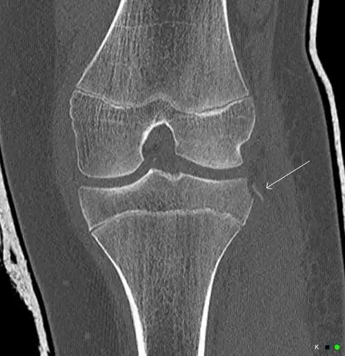
伸直就感觉里边硬邦邦的昨天在家附近医院拍的片子说考虑骨折,让做ct
下载原图
相关图片
膝怎么读(膝盖怎么读)
膝关节影像
膝关节后交叉止点撕脱性骨折
膝关节骨性关节炎的梯度治疗
术后2月ct
为你推荐
高冷霸道总裁易烊千玺
活动作品殷桃温如雪温如雪cut爱的理想生活20
连续卡环(continuous clasp)位于两个以上相邻牙的卡
古风十二生肖公主 拟人画 十二生肖简笔画简笔画古风卡通绘画画
腰臀围正常值查询表
手扶拖拉机贵州农用耕田机小型单缸家用印染整机械
大女生封面故事刘洋回归地球的幸福
[四川]成都东部新城景观轴线规划(jpg 40页)-道路街区景观-筑龙园林景