图知网
搜索
首页
热门推荐
图片分类
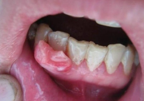
【图】牙龈癌的早期症状图片展示 4种临床表现你了解吗?
下载原图
相关图片
牙龈癌
牙龈癌临床症状
牙龈癌早期症状图片(32)_有来医生
牙龈癌症状_病因_治疗方法_鉴别_专家咨询|丁香医生
牙龈癌早期症状图片(49)
牙龈癌
为你推荐
脂25以下 腰围减到65 保持平时肉眼可见的四块腹肌一年跑十次以上10km
2021 超有气质的中长卷发呀 轩头发留长了感觉长直看了就一定要尝试这
王中磊女儿晒与妈妈合影大长腿抢镜图
ins风壁纸
歌唱祖国 #歌唱祖国正谱 #歌唱祖国五线谱 #歌唱祖国合唱 - 兑趑
锡林郭勒盟博物馆草原文化的集中展示
《弹丸论破》安广多惠子(塞蕾丝缇雅),全面屏壁纸分享
自然笔记《凤仙花》 99临摹客单发的图片,没有找到原作者,如作者