图知网
搜索
首页
热门推荐
图片分类
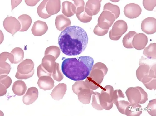
▼「原始淋巴细胞」形态特征:胞体类圆形,胞质量较少,呈透明的天蓝色
下载原图
相关图片
淋巴细胞增多背后的原因——大颗粒淋巴细胞
造血系统红细胞背景成熟淋巴细胞.照片
油镜下以成熟淋巴细胞为主,可见少量不典型淋巴细胞
原始淋巴细胞 18
各种淋巴细胞及其它细胞
显微镜下的淋巴结细胞.
为你推荐
严屹宽侧脸上热搜,40岁颜值帅到犯规,不愧是当年的"天涯四美"
夏日炎炎儿童人物画96#儿童画 #简笔画 #简笔画人物 #夏日主题画
法派集团有限公司标志
魏翔表情包_斗图表情包_微信头像图片大全
香港90后中学教师爱国是每一个人都要做的事情
duang表情翔通动漫
砖砌围墙设计用造型和工艺照亮庭院的艺术之美
泽塔奥特曼shf(原生)大声的呼唤我的名字吧…ultrama - 抖音