图知网
搜索
首页
热门推荐
图片分类
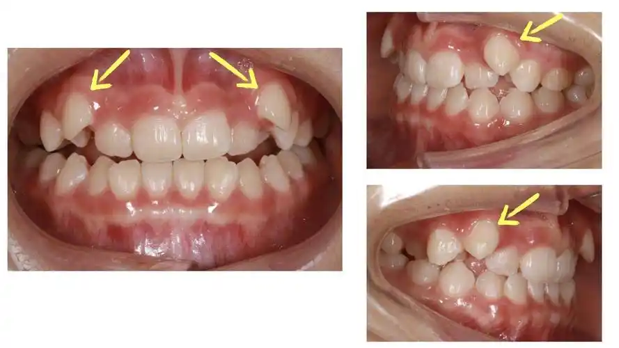
造成恒尖牙没有空间萌出,就被推挤出去变成虎牙了
下载原图
相关图片
尖牙和虎牙的区别图片_图文_文章_美咯_让您放心美!
虎牙占了"一半的功劳"-虎牙是长在上颌门牙旁边的两颗尖牙,俗称"犬齿"
尖牙是从中线数起的第三颗牙,被俗称为虎牙.
虎牙拔掉好还是矫正好
1 虎牙 在很多国家,牙齿不整齐是被视为缺点的.
虎牙也叫犬齿,主要是因为尖牙的位置不足而引起的.
为你推荐
韩国演员男明星大叔(盘点12位「超过40岁」韩国大叔男神)_金纳莱网
冥王星满载爱的心状平原 史泼尼克平原如何形成?
"世界上第一美腿"的她,腿长112cm,曾拿下吉尼斯世界纪录_动作_nadja
明星壁纸分享「祝绪丹」.#今日分享 #壁纸 #一起追剧 #祝 - 抖音
dc蝙蝠侠黑暗骑士电影shf小丑joker希斯莱杰可动手办人偶模型玩具
特利迦奥特曼闪耀之剑对应的力量居然是闪耀迪迦!
聊天背景壁纸.
万代泽塔奥特曼升华器变身器超人贝利亚黄昏魔剑召唤器勋章折玩具