图知网
搜索
首页
热门推荐
图片分类
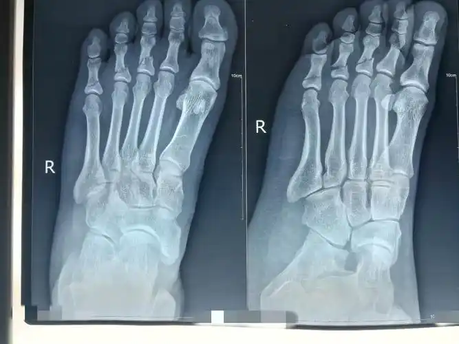
主要症状等):12,12,6日被电单车给撞到右脚脚腕处肿起,去医院ct拍过后
下载原图
相关图片
脚踝部影像
右足跟骨骨折
右足第3,4,5趾骨骨折
右脚踝ct
足部影像分析诊断,一文搞定!
足部影像分析诊断,一文搞定!
为你推荐
手机壁纸仙侠古风壁纸图片高清版免费放送
梵蒂冈圣彼得广场圣彼得大教堂
纯手工编织篮子,蛮久没编了那来抖一个 - 抖音
油画风景《海》
笔袋小学生女文具盒可爱少女心女孩文具中学生幼儿园女童铅笔袋
桔色配什么颜色( 桔色配什么颜色最搭配什么短裤 )
带子是什么海鲜?带子是什么东西
女生个性签名高冷霸气个性签名女生高冷伤感范文