图知网
搜索
首页
热门推荐
图片分类
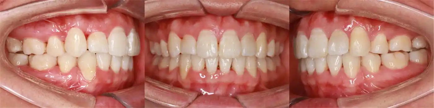
牙齿矫正.矫正牙齿是个漫长的的过程,你的等待惊艳了时光,愿未 - 抖音
下载原图
相关图片
西安牙齿矫正张军主任正畸案例集:牙齿拥挤,前突的隐适美隐形矫正案例
我的牙齿矫正日记(深覆合,下巴后缩,上牙半骨性前凸)
20岁的女生,矫正牙齿戴牙套,还要拔四颗牙是什么感觉啊,担心会不会有
矫正后的牙齿
特殊拔牙 支抗,腼腆女孩的牙齿开合矫正
矫正牙齿后会增强自信心
为你推荐
温柔很治愈的插画男生手绘卡通头像
《奔跑吧8》又换人了,竟然改成了8人的组合,这拨人你还约吗?
原创明星结婚证件照合集张若昀的浮夸陈妍希的甜蜜她的最雷人
分享一下蒂芙尼玫瑰花钥匙项链.喜欢的可以一起交流#项链[话题 - 抖音
五官与本尊极相似,17岁腿长就不得了|柴蔚|齐刘海|名媛_网易订阅
别墅 新中式 禅意 茶道 古典 楼梯图片来自田悦梵在洞林湖新田城别墅
化州橘红
电视剧《三生三世十里桃花》白浅(杨幂 饰)她是九尾白狐青丘帝姬,战神