图知网
搜索
首页
热门推荐
图片分类
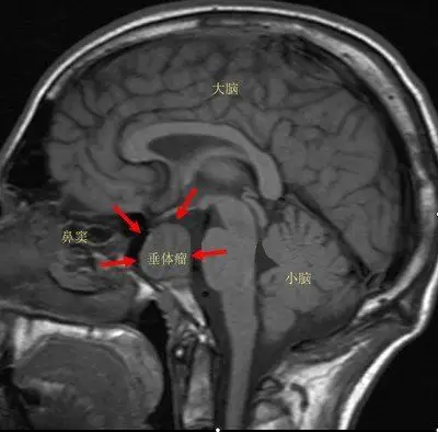
位于颅底垂体窝内,借垂体柄与丘脑下部相连,分腺体部和神经部.
下载原图
相关图片
牵一发而动全身,这些复杂而精细的结构有:视神经,视交叉,垂体柄;两侧
正常垂体的mri表现|解剖学|血管_新浪新闻
图2-3-2垂体 1垂体前叶 2垂体柄 3垂体后叶
垂体( pituitary gland)位于垂体窝内,借垂体柄,经膈孔与第三脑室底的
垂体性闭经
牵一发而动全身,这些复杂而精细的结构有:视神经,视交叉,垂体柄;海绵
为你推荐
蔡徐坤小香风##蔡徐坤新歌rideordie
康复触诊新章节25胸小肌上
最火的一首歌,其中最灵魂的一句"燃烧我的卡路里",交给了杨超越去演唱
鱼池假山设计,假山池设计,忠远园林
深圳莲花北村3室1厅2卫85平米户型图
其中公孔雀鱼尾鳍特别长,如下图所示,几乎所有品种公孔雀鱼尾鳍都特别
冰雪运动竖版手抄报word模板
临沂保安上岗将持证 聘无证者最高或被罚5万