图知网
搜索
首页
热门推荐
图片分类
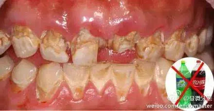
这种情况被称为"可乐牙",即常喝碳酸饮料导致牙齿患上了"酸蚀症".
下载原图
相关图片
那些特别爱喝可乐的人他们的牙齿后来怎么样了
我就是因为因为喜欢喝可乐,牙齿被可乐碳酸饮料腐蚀严_圈子-新氧美容
如果长时间喝碳酸饮料,尤其是冰冻的碳酸饮料,患上"可乐牙"
喜欢喝可乐的人*终牙齿状况,上颌2-2氧化锆.
如果真的戒不了可乐,可以选择用吸管来喝会 展开全文 c
5岁宝宝变老头你还敢给孩子喝可乐吗
为你推荐
兰花红素的特征(最贵的蕙兰红素)_花伴网
8715很多人不知道怎样确定自己脸上的斑属于哪种色斑,今天我就
有机早餐青椒图片在杂货店和杂货店销售区
2009年10月出生的属牛人运势如何,可以和属狗的人结婚吗?
美国新冠肺炎疫情严重7天平均日增死亡病例升至300例
天宇三鼎 专业弱电机房建设
独角仙
三门峡黄河湿地公园的风景,聆听大自然的歌声,人与自然的对话,留下