图知网
搜索
首页
热门推荐
图片分类
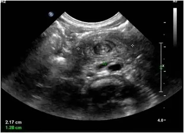
小儿巨大肠系膜淋巴管瘤并肠扭转肠梗阻1例
下载原图
相关图片
「漩涡征」:超声诊断小肠扭转的线索
「漩涡征」:超声诊断小肠扭转的线索
超声诊断先天性肠旋转不良
小肠扭转的c t诊断
乙状结肠扭转1例
确诊乙状结肠扭转一例
为你推荐
萌娃金雪表情包动图
圆珠笔_价格30元【供销社怀旧】_第1张_7788收藏__收藏热线
「鬼狐怎么洗澡」 鬼狐天冲 凹凸世界
超级马里奥奥德赛壁纸最新版
脸上长了黄褐斑,有办法淡化吗?是否能彻底去除?医生给你答案
28斤新疆和田碧玉戈壁料原石少见猫眼直闪石摆件宝石级收藏料
供应200目钾长石粉 玻璃混合料用钾长石粉 长石厂家批发
锌合金别墅大门农村自建房欧式中式防盗铝合金阳台双开玻璃进户门