图知网
搜索
首页
热门推荐
图片分类
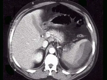
迟发性脾破裂到底可以多迟? - 好大夫在线
下载原图
相关图片
外伤4天复查,脾破裂
典型迟发性脾破裂如何治疗
外伤来势凶猛急救佑护生命嘉之慧医院急诊救治脾破裂患者
包膜下破裂中央破裂完全性破裂分类脾破裂肾脏泌尿系统胰腺肝脏脾脏
《脾破裂的ct诊断》ppt课件.ppt
a,脾破裂实质内血肿 b,脾包膜下血肿 c,脾挫裂伤 d,脾梗死 e,脾扭转
为你推荐
而是晒"牵手照",与妈妈一起回到小时候
52岁的女演员俞飞鸿以其仙女般的存在方式,活出了属于自己的人生.
爱马仕图标爱马仕腰带是什么标志
带纹身的女背影头像 好看的女生后背纹身头像图片
连小小兔黑化之后的定格姿势
淋浴房大理石踏板底座地板石浴室防滑石拉槽板洗澡间卫生间垫脚石
怒火图片_怒火设计图片素材大全-千库网
流水e线滚筒无动力托辊定制皮带机输送机主动轴滚轴传送带配件全