图知网
搜索
首页
热门推荐
图片分类
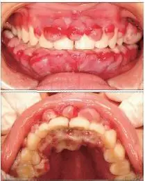
谈医论症|妊娠期牙龈炎_健康症状网
下载原图
相关图片
感觉牙龈快把牙齿全都遮盖住了…现在也不敢乱吃药,有和我一样的宝妈
1,妊娠性牙龈炎:30~99%孕产妇会发生妊娠性牙龈炎,牙龈呈深红色,肿胀
牙龈炎
怀孕牙龈肿痛怎么办
妊娠期多发性牙龈瘤1例
妊娠期龈炎妊娠性牙龈炎通常在妊娠第二个月晚些时候出现,在妊娠第八
为你推荐
假头套女短发波波头发型网红bobo日系奶茶白金短直发时尚空气刘海
中国现代十大美女最新排行榜出炉
柳岩晒生活照还以为是20岁女团爱豆,长发披肩又白又瘦,连裙子都那么有
在春天里看到了各种各样的鲜花艳丽盛放花的芬芳十分浓郁香味飘出扑鼻
神经文艺二次元病娇黑化动漫图片
梅字书法设计图__传统文化_文化艺术_设计图库_昵图网nipic.com
江中牌健胃消食片广告里的光头叫什么来?
有毒动物-黑寡妇蜘蛛