图知网
搜索
首页
热门推荐
图片分类
5000bpdnamarker
下载原图
相关图片
dna marker
dnamarker图谱
bm2000dnamarker
dm2000 dna marker
3590b dl500 dna marker 约200 次_takara
dna marker
为你推荐
【清】光绪青花竹林七贤纹"内府"款小碗_青花瓷_缘不藏倦斋【7788瓷器
给韩国演技最好的11位男演员排个名河正宇第8黄政民第5
qq动漫动漫头像男生帅气霸气十足
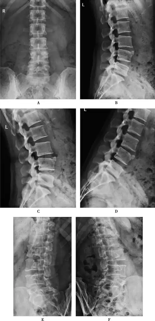
图4-1-3 腰椎dr
百家廊:合唱团选秀记
花瓜
安徒生童话(注音美绘版)
安阳实验中学初中 公办