图知网
搜索
首页
热门推荐
图片分类
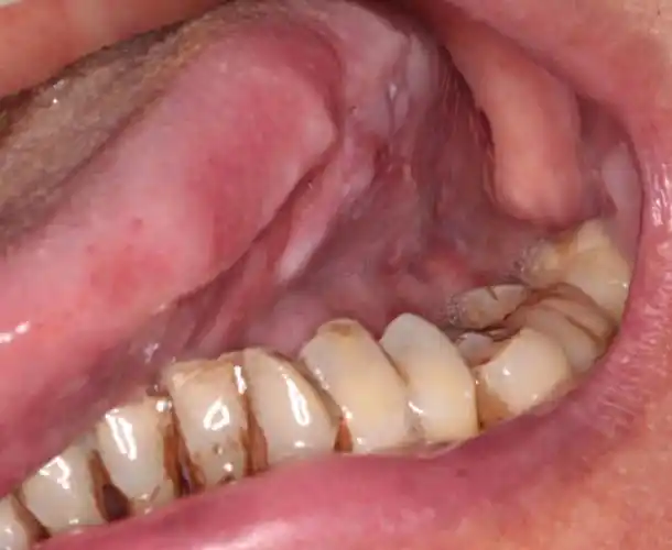
口腔癌诊断2例! - 好大夫在线
下载原图
相关图片
口腔2公分白斑「竟是一期癌」.抽菸者罹癌率多123倍
口腔癌的早期症状图(51)
口腔癌的前兆 (7)
口腔癌
通过照片认识口腔癌
年仅36岁!男歌手患口腔癌病逝,这种"零食"千万别尝试
为你推荐
模特长发车模4k壁纸-美女壁纸 - 壁纸家
人靠衣服马靠鞍,娱乐圈9位"胸小"的女星,因穿错衣服被嘲笑
古力娜扎这样穿卫衣少女感"爆棚",短款粉色卫衣配牛仔裤,真美
美少女简笔画图片大全
178的刘太阳 91:rexphoto
篮球教练杨鸣婚变 更凸显了国足模范老公韦世豪 武磊等人不容易|谭龙
利比里亚地图
深情白首美好相依含山这对夫妻的爱情故事感动了无数人