图知网
搜索
首页
热门推荐
图片分类
分型:如胞质颗粒粗大,密集或融合称粗颗粒型(m3a);如颗粒细小而密集
下载原图
相关图片
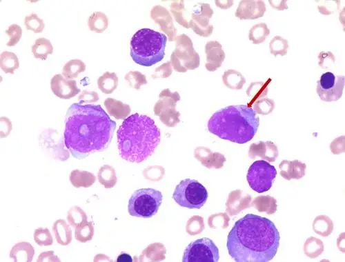
▼「auer小体」形态描述:细胞胞质内一根细小的紫红色棒状结构,由胞质
染红色细杆状物质,1条或数条不等,长1~6um,称为auer小体(棒状小体)
医生福尔摩斯如何根据检验结果断"疾病案"?
其它 2018年细胞形态学培训考试 a:豪焦小体 b: rusell小体 c:杜勒小
嗜碱性粒细胞请报告箭头所指细胞的名称2017104都勒小体(d02hle
auer小体
为你推荐
上帝的众子啊,你 们要将荣耀,能力归 给耶和华,归给耶和 华!
《红十字方队》导演:文杰演员:罗刚,颜丙燕,刘微微,田鹏,杨圣文
山谷回音真好听 幼儿 儿童 简易版 有试听 钢琴谱 钢琴双手简谱
海蒂与爷爷
韩国女生马尾辫发型 韩式高马尾辫发型图片
客厅阳台是打通好还是装推拉门好看完优缺点你心里就有数了
保定中药冠心静片084g12片3板活血化瘀益气通脉宣痹止痛气短冠心病心
下午五点左右入院的一位手外伤的患者,四个手指不完全断裂,血肉模糊