图知网
搜索
首页
热门推荐
图片分类
随机数表(由随机生成的从0到9十个数字所组成的数表)
下载原图
相关图片
> 随机数表
随机数表
随机数表片段
随机数字表
系统抽样ppt 用随机数表法进行抽取 随机数表的第一行至第十行 03 47
一般取样的随机数
为你推荐
推荐朋友圈背景墙的照片
【拳皇15】草薙京粉碎起手十割
火影忍者手游奥义击杀图(九)奥义击杀彩蛋第五期
【红辣椒/paprika】今敏 平泽进=梦幻组合_哔哩哔哩 (゜-゜)つロ 干杯
90年前,他孤身一人代表中国,第一次出现在了奥运会赛场当中_刘长春
德宏州芒市勐巴娜西珍奇园
巴比伦神话中的半人半鱼的怪物,躯干是人,但腿却是鱼尾,和人鱼非常
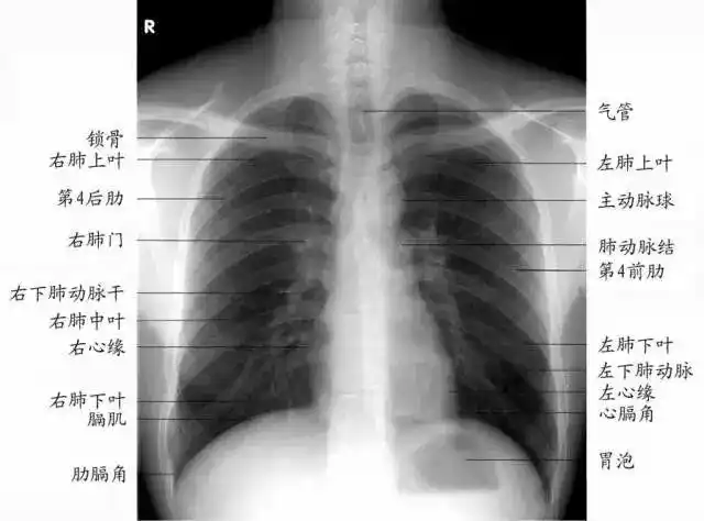
经常在x线胸片或ct检查报告中看到"两肺纹理增多增粗"这样的影像描述