图知网
搜索
首页
热门推荐
图片分类
海外直订asymptomatic throat carriage of group a streptococcus a
下载原图
相关图片
多发性骨髓瘤(mm)的常用检查和意义
psa screening for asymptomatic men: is the jury in yet?
severely)measures designed to… 为……量身制作的措施asymptomatic
asymptomatic, cold like symptoms, or even something as severe
crush
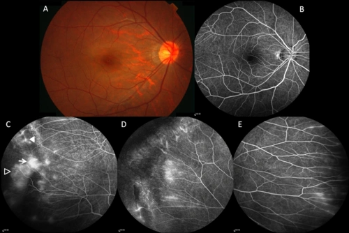
posterior pole retinal abnormalities in mild asymptomatic fevr
为你推荐
《雪山飞狐》(1991)剧照
《七仙女下凡游盘山》又是一年七月七,美丽的盘山吸引了天庭上的七
jk制服美少女人像拍摄
小老头形象制作
规范使用地图 一点都不能错_版图_国家_中国
《土鸡的冒险》故事文本来源,创作的儿童绘本
复旦附中2023届学生成人仪式隆重举行|附备考策略
blackpinklisa生日成员发布她的照片而粉丝送出特别礼物