图知网
搜索
首页
热门推荐
图片分类
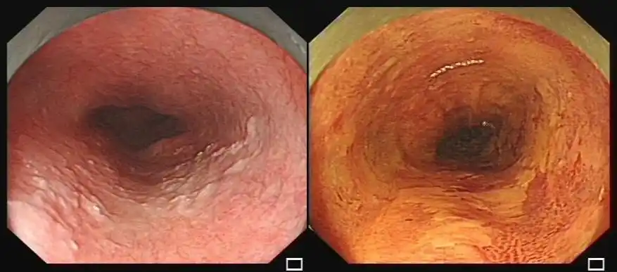
早期食管癌(图谱)系列:白光与碘染
下载原图
相关图片
早期食管癌做胃镜能不能筛查到?医生告诉你:可以的!
早期食管癌(图谱)系列:白光与碘染
早期食管癌图谱集锦
食管癌术后症状发展-2
>好大夫在线>宁光耀>"食管癌"真的离我们很远吗>食管癌的经典症状是
身体出现这些症状,当心食管癌!_感觉_皮肤_检查
为你推荐
头像|比耶小动物9枚 比耶701570157015 (是谁点的小动物
贾玲##春节观影野生指南
一个人的办公室
ad罩杯玩个够老司机给你带路
新闻艾露露演唱凹凸世界第四季的op
莫斯提马
116斤减到98斤需要几天饿瘦第2天
新还珠格格剧照 - 职场 - 布条百科