图知网
搜索
首页
热门推荐
图片分类
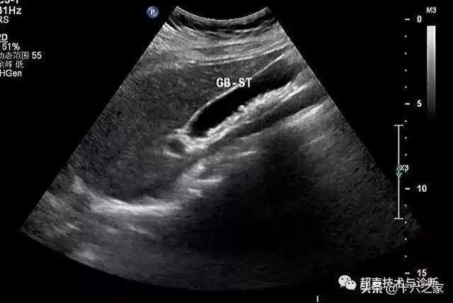
晒晒我们这的特色----各种各样的胆结石 - 超声医学讨论版 - 爱爱医
下载原图
相关图片
正常胆总管声像.jpg
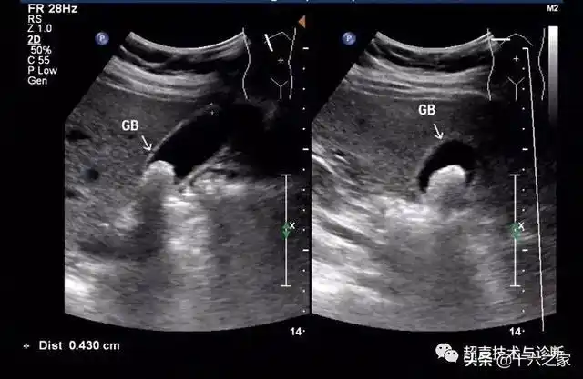
腹部超声 | 不典型胆囊结石——泥沙样结石
胆总管结石?
得了胆结石是切还是保请听医生说
超声检查让胆囊结石无所遁形!
腹部超声 | 不典型胆囊结石——泥沙样结石
为你推荐
给张真源许个星愿
6部高评价古装韩剧推荐!
吃火锅怎么能不以蔬菜收尾呢 种类齐全样样都有的拼盘 就是一个不错的
奶牛的简笔画步骤图解
单色纹饰网格背景矢量图
清初六大家之一恽寿平没骨花鸟画作品
在白色背景上的塑料瓶
兔子警官 朱迪简笔画