图知网
搜索
首页
热门推荐
图片分类
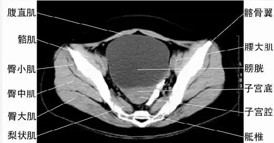
盆腔ct诊断课件
下载原图
相关图片
盆腔ct解剖.你说,一个幸福的人生到底是怎么样的呢?#医学科 - 抖音
请会诊女性盆腔ct片,谢谢!
其它 甘肃省人民医院骨一科台会平主任骨盆创伤精选 写美篇 ct可见
【读片】盆腔ct:女26岁,未婚,主因发现盆腔包块1年,阴道不规则出血22
【读片】这个礼拜刚做的,盆腔很有意思的病例,希望与大家一起拓展下
盆腔ct典型病例,请积极讨论,一周后公布病理/2008-08-24发布
为你推荐
可爱呆萌的胡少爷
插画中国风古装3d古风美女弓箭手
收下吧 - 斗图表情包 - 斗图神器 - adoutu.com
大鹿_歌谱简谱_哆来咪123曲谱网
学生用签领单模板
女性机器人robotskin
牛肠,牛肠怎么配剂,牛肠怎么吃-中药药材查询-39药品通
奶牛酋长——阿利斯塔