图知网
搜索
首页
热门推荐
图片分类
垂体病变mri讨论
下载原图
相关图片
写美篇 升级后图像 mri提供的信息量大于医学影像学
贺教授课堂谈垂体瘤的非手术治疗
垂体 mri 平扫
病例三,男,57,颅脑磁共振体检中发现垂体病变,高度可疑垂体瘤
(精选)鞍区垂体mri解剖
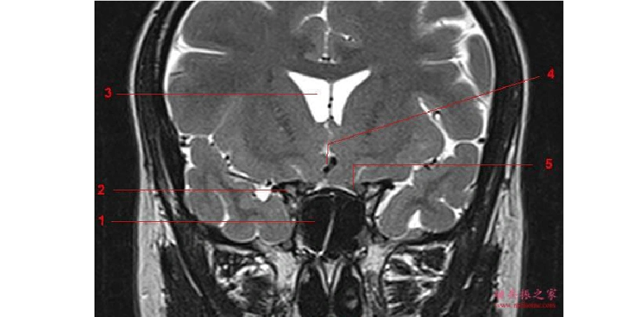
垂体病变
为你推荐
女童晚礼服公主裙蓬蓬小孩花童婚纱儿童钢琴表演生日走秀超长洋气
萌萌图 可爱的小薇 情侣系列 可爱 情侣 壁纸 高清 头像(喜欢可收藏
零食物语乌梅番茄酱小番茄千玺孕妇无核网红零食2021梅类制品
树测量木胸径尺测树围尺直径尺卷尺2米园艺尺腰围尺高精度拉尺
生产平开窗执手 好博门窗配件 氟碳把手 断桥180度内
九死还魂草
村委会证明 兹有我村委会居民,身份证号.
斗罗大陆:我的武魂是"武灵邪龙",快来测试一下你的专属武魂?