图知网
搜索
首页
热门推荐
图片分类
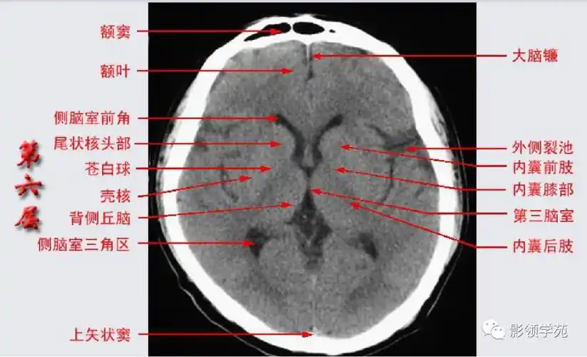
影像医生必须掌握的头颅ct解剖与常见出血梗死判读
下载原图
相关图片
读懂头颅ct并不难,教你成为读片小能手
头部ct影像解剖
头颅ct 解剖图谱,人手一份
超详细!颅底ct高清断层解剖图谱,不能错过
头颅ct断层解剖
超实用急诊头颅ct3b阅片法
为你推荐
平板m6动漫二次元美女壁纸
撒花#王俊凯 #稿件展示 #壁纸 #饭制周边 #薯队长@潮流艺术薯#漫画
图文伙伴计划 可爱的小动物向你袭来#壁纸 #萌宠出道计划 - 抖音
画册封面设计/封套设计,满意为止-宣传册设计-猪八戒网
拍证件照女生发型_发型图片
黑白水溶涤纶蕾丝花边diy礼服裙边旗袍服装家纺装饰辅料花边带宽
妩媚性感 ,腿长,s腰,车模,春晓! - 抖音
旅行青蛙