图知网
搜索
首页
热门推荐
图片分类
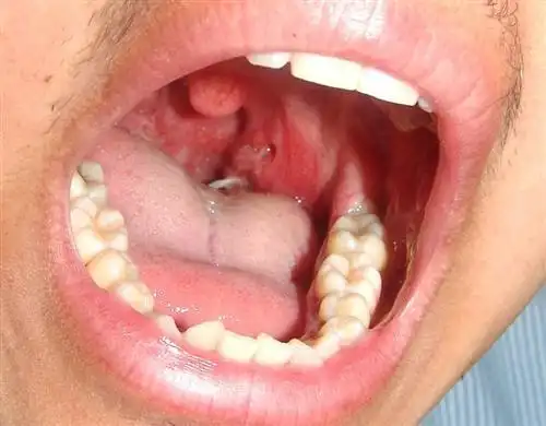
咽部肿瘤图片_咽部肿瘤症状表现图片大全_有来医生
下载原图
相关图片
口咽癌
扁桃体癌图69
患者就是因为有颈部肿块的症状,采取医院检查看诊的,结果被确诊为喉癌
手术割下来的喉肿瘤图片
喉癌临床表现与诊断
什么是喉癌前病变?
为你推荐
张雪迎明星壁纸20
哥字的笔画顺序怎么写?
女童发育期小背心 9-12-13-15岁初中生夏学生儿童女吊带女孩内衣 白色
为何女性戴口罩后看起来要更加的好看? - 知乎
得力大中剪子美工刀手工小号手小号大中小纸刀文具剪刀
突然发现舌头下面长了两排肉须不知正常不
京剧人物手绘插画
河豚生气文字表情包