图知网
搜索
首页
热门推荐
图片分类
动漫壁纸绝世唐门唐舞桐
下载原图
相关图片
动漫壁纸绝世唐门唐舞桐
绝世唐门唐舞桐龙神血脉多次查看原著后果然来自于她
绝世唐门唐舞桐
斗罗大陆绝世唐门唐舞桐
唐舞桐
唐舞桐
为你推荐
angelababy抱小海绵出行照片曝光轻声耳语背影温馨
王菲女儿窦靖童纹身寸头,网友:叛逆是遗传的_窦唯_音乐_孩子
第八式:肩部平圆理三焦
超轻黏土手工 #黏土 #我的黏土世界 #超轻黏土 949494熊猫
锯谷盗
英伦汽车六方位介绍(金刚)
乞巧资源素材之牛郎织女的故事
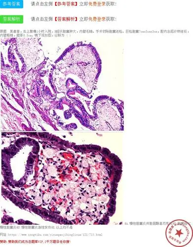
慢性胆囊炎并胆固醇息肉形成 b.胆囊癌 c.慢性胆囊炎 d.