图知网
搜索
首页
热门推荐
图片分类
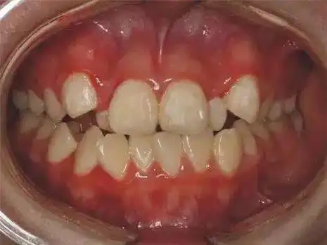
孩子越长越难看?可能就是牙齿的问题
下载原图
相关图片
你还觉得孩子牙齿畸形是小事?
儿童错颌畸形早期矫治的那些事儿
小孩子牙齿不齐(错颌畸形)怎么办 - 知乎
家人,孩子,亲友,同事,你身边的这些人有受到牙齿畸形的困扰吗?
畸形的早期矫治有助于儿童:(1)上,下颌骨更协调的生长;(2)避免因牙齿
青岛牙齿矫正丨12岁才能矫牙?错!这20种儿童牙颌畸形12岁前必须处理
为你推荐
兄弟啊-张雨生-微信电话铃声
贵州省贵阳市最新行政区划,厉害了大贵州 - 贵阳市区划图 - 实验室
蒋小涵:圆满完成"特殊使命"
马甲线 #减脂 #布 - 抖音
怀旧复古剧本杀书架书房壁纸网红书柜拍照直播背景墙纸换装自拍馆
辛辣,酸,鱼,木瓜,美味,泰国人,传统
沧州武术——开门八极拳
捷安特 24款《propel adv2》已出炉!