图知网
搜索
首页
热门推荐
图片分类
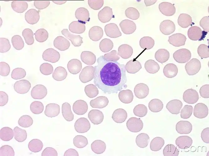
大家看看异型淋巴细胞
下载原图
相关图片
日本血液学会的异型淋巴细胞图片
求异型淋巴细胞三种类型的多组图片及解析
日本血液学会的异型淋巴细胞图片
日本血液学会的异型淋巴细胞图片
异型淋巴细胞
图集:国外的一些异型淋巴细胞(反应性淋巴细胞)-medsci.cn
为你推荐
豫奋斗豫出彩乡村振兴看河南
张这么甜,身材那么棒简直了朱嘉琦#朱嘉琦 - 抖音
10岁一12岁儿童短发发型有哪些,试试这几种,清爽又好看_韩式_锅盖头
单面-人物称谓-有声挂图早教发声挂图0-3岁宝宝拼音启蒙认知墙贴看图
奥黛丽赫本audreyhepburn的图片
情况说明格式及范文
肉搏日军坦克并非神剧,南口战役真实上演,我军缴获6辆却不会用
迷你特工队x:赛米和弗特为了能分开,只能说我爱你