图知网
搜索
首页
热门推荐
图片分类
四川一位女子笑起来时露出虎牙而画面却有点夸张引来网友热议
下载原图
相关图片
尖牙vs虎牙 这次我pick这颗长得壮又能吃的牙_儿童牙病_疾病介绍_相关
科普知识虎年话虎牙
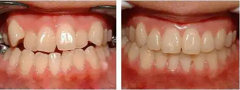
虎牙是一种常见的畸形牙齿,位于上颌唇侧错位的尖牙,它突出于牙弓之外
尖牙vs虎牙 这次我pick这颗长得壮又能吃的牙_儿童牙病_疾病介绍_相关
虎牙拔掉好还是矫正好
乳磨牙滞留未能及时拔除,使上尖牙的萌出受阻. 小虎牙的危害
为你推荐
朱桢薛之谦合照
重庆市
老式圆珠笔
长沙周边农家乐过年采摘农家菜垂钓野炊烧烤一日游
羊里脊孤立在白色与小路
【案例】为了推广新品 003,冈本推出一支「爱意」广告片
【点拨中考(基础巩固题)】第6讲:我们生活的大洲——亚洲
天鹅绒