图知网
搜索
首页
热门推荐
图片分类
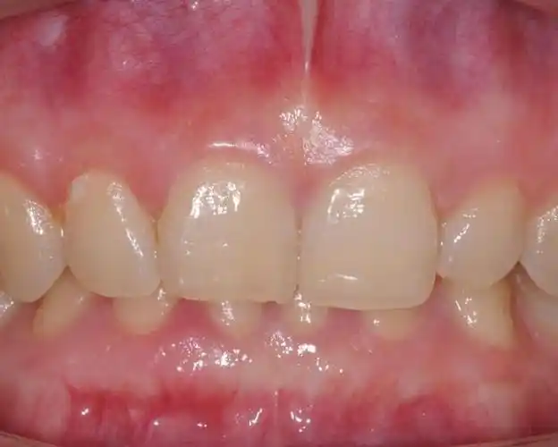
我的牙龈是否正常
下载原图
相关图片
曾经不止有一,两个人问过小编这样的问题,很多人在咨询其它牙齿问题时
【转贴】牙龈修整图片
牙龈.jpg
中医望诊#2,【牙龈萎缩多属虚证】正常人齿龈淡红而润泽,是胃气充足
上禾牙医诊所
因为性别女,牙更容易坏是真的
为你推荐
江阴新桥海澜马儿岛大酒店!
华晨宝马x3即将9月大幅增配全系标配id7和全液晶仪表盘
晓娱星幕后:刘涛 袁文康亲密戏拍摄花絮"太甜了"
唐代 ·《青玉飞天》
杨蕊
原名永琪,是古装电视剧《 a target="_blank" href="/item/还珠格格
林肯大陆70年代车型|轿车|马力|发动机|中型车_网易订阅
狸,动物,野