图知网
搜索
首页
热门推荐
图片分类
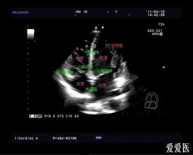
图文详解 | 心超切面不会打?看这一篇就够了!
下载原图
相关图片
复习常用心脏切面
心脏超声常规切面及手法操作
心脏超声标准切面
图文详解 | 心超切面不会打?看这一篇就够了!
超声心动图切面介绍胸骨旁长轴胸骨旁短轴心尖切面剑突下切面
【2019年整理】经典心脏超声切面图及解剖解释(20210430104612)
为你推荐
【华晨宇】极限挑战《骑士精神》正面饭拍
《顶楼》2现场公开,李智雅不在秀莲复活成疑?_腾讯新闻
data-lemmaid="967105">惠来县 /a>人,公安局交警支队揭阳市惠来高速
临摹梵高的《星空》
392 烈焰猴 同人合集 性格像头上的火焰一样激烈 在关键的时刻会迸发
地球仪简笔画画法步骤图片大全,简笔画图片
我的崽崽太可爱了吧
二十四节气白露手抄报