图知网
搜索
首页
热门推荐
图片分类
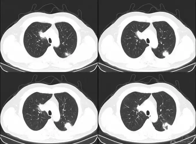
肺部结节和肺部肿瘤是一个东西,只是大小不一样罢了.
下载原图
相关图片
【讨论】双肺多发结节灶85149
影像读片双肺多发结节病例帖
肺部磨玻璃结节 #肺癌 #肺结节
多发肺结节,随访六年半,无变化
肺部多发性结节能治愈吗?肺部实性结节都是恶性的吗?-图片大观-奇异网
多发肺结节,随访六年半,无变化
为你推荐
还记得宋家三胞胎吗他们都十岁啦
王源脸上爆出了几颗红色痘痘,粉丝担心他这几天没有控制好饮食
王俊凯红毯全身镜头
一年级拓展学习汉字由来趣味甲骨文doc5页
c罗头像图片高清 足球明星c罗霸气头像_微信头像图片大全
圆脸方圆脸适合的减龄发型
中国政区空白图
炮炮兵gif摇头gif卖萌gif撒娇gif