图知网
搜索
首页
热门推荐
图片分类
扫一扫测脸型67定位最佳发型75
下载原图
相关图片
扫一扫测发型快速测脸型1分钟看你是那一种 #试发型相机app #今日发型
扫一扫测发型测脸型78
扫一扫测脸型配发型免费试用#测一测你最适合什么发型 #一个发 - 抖音
免费发型测试在线软件.#扫一扫脸型配发型 #测一测你最适合什 - 抖音
扫一扫测发型97 不出16615分钟,选出最佳 每个人的脸都是独一
男生扫一扫测脸型60配发型60
为你推荐
57岁蔡明旗袍装出席活动,风姿卓越身材好,脸上皮肤略微松弛下垂_网友
给排水识图
古惑仔聚会!陈小春谢天华聚餐庆生不见"陈浩南"
术后恢复营养品_国药肽谷源参人参肽小分子活性肽正品低聚肽中老年术
夏装护工服装碎花护士服分体套装家政月嫂服保洁短袖养老院工作服
汪汪队立大功从狗狗口头禅看不同品种的狗狗个性特点三
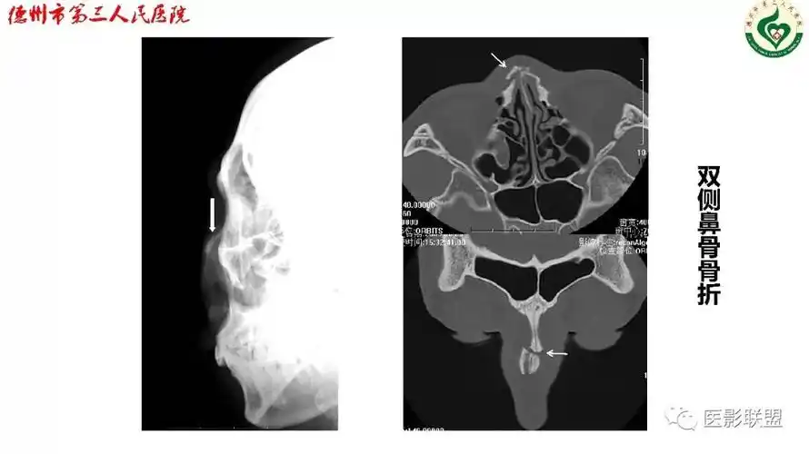
清晰图讲解鼻骨骨折影像学诊断
华胥镇中心学校校本部开展扫黑除恶手抄报展示活动.