图知网
搜索
首页
热门推荐
图片分类
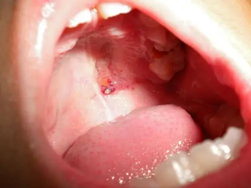
是艾滋病口腔症状吗,急求医生看看
下载原图
相关图片
口腔上颚有红点
我这是白念珠菌感染吗,是不是口腔问题?艾滋病?
请帮忙看一下我这个口腔是不是艾滋病症状?
我的上颚不知怎么这样子了.突然发现的,没感觉疼痛
口腔上颚溃烂
【求助】口腔黏膜病变 [病例帖]
为你推荐
古驰(gucci)奢侈品女包 marmont系列 小号牛皮链条单肩包女 双g衔缝
tvb的"御用恶姐",后悔交往已婚男,48岁仍单身渴望爱情
80万元四居及以上150平米装修案例_效果图 - 多代居雾霾蓝亲子宅,拱门
太不容易了#小黄脸表情包 #可爱小黄脸表情包 #表情包分享 #表情包
4×2载货车,看看这款被卡友们称为绿通利器的东风天锦kr载货车究竟有
北京地铁17号线最新消息 17号线南段已于2021年建成通车,其中共有7
曝费玉清病情加重昏迷15天暴瘦12kg似8旬老翁私生子现身照顾
威震天