图知网
搜索
首页
热门推荐
图片分类
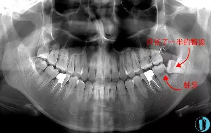
拔一颗尽头牙虫牙,用光了我一年的勇气!
下载原图
相关图片
智齿位置
智齿生长的位置
智齿不痛就不用拔吗?看了这篇你就懂了!
扒一扒我上当了不该拔智齿的真相,不是所有的智齿一定要拔
长春拔一个智齿牙多少钱?
智齿位置图
为你推荐
古力娜扎和关晓彤同框比美,古力娜扎略胜一筹__财经头条
ht
意大利原产crumarmojoclassic爵士双排风琴键盘音源midi键盘
帅哥美女情侣
听说当时他可是河北电视台的当红主持,咱们都知道,电视台的台柱子可不
简笔画含分解步骤九步简笔画《金发小公主》含步骤可爱小动物简笔画含
素描小兔子
建设美丽新农村图片