图知网
搜索
首页
热门推荐
图片分类
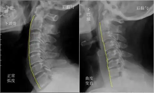
颈椎,腰椎生理曲度变直是怎么一回事
下载原图
相关图片
长年累月下来,正常生理曲度逐渐消失,颈椎僵化为直立形状,更为严重者
正常的人体脊椎生理弯曲图
为什么颈椎生理曲度会变直会有什么严重后果吗
颈椎 生理曲度
这个图片可以让我们认识颈椎是有生理曲度的
仁爱!颈椎曲度变直是怎么回事?"那么便宜"-第2张图片-宠宝网
为你推荐
陈数身穿v领晚礼服,展现美好曲线,完美容颜让人深陷其中,太绝_女人
东南亚第一富婆私生活曝光天价衣帽间200只爱马仕网友是贫穷限制了我
还记得《蜗居》里面的海藻吗?她现在长这样啦!
蔡徐坤晒怼脸自拍照
求纯黄爱疯5壁纸.任何装饰都不要
《tekken 7》(铁拳7)街机模式 扎菲娜 (zafina)
奥斯卡最佳动画长片奖超能陆战队剧照电脑高清壁纸
鄂豫皖革命根据地