图知网
搜索
首页
热门推荐
图片分类
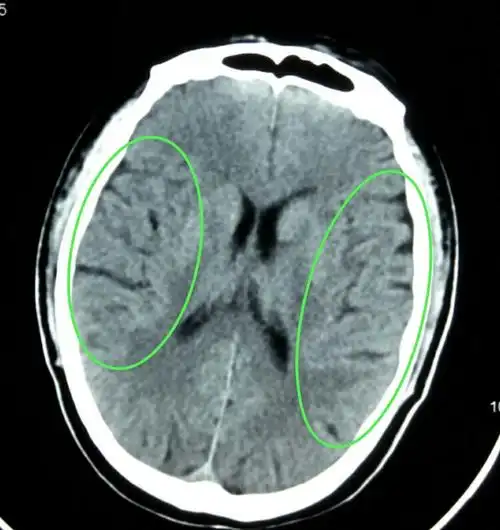
头痛,头晕,耳呜,失眠.做脑ct是脑萎缩
下载原图
相关图片
体检发现头颅ct局限脑萎缩
头颅ct平扫显示脑皮层萎缩.
脑萎缩的症状 脑萎缩的临床表现
患者虽然已80岁,脑萎缩及脑梗死并不严重.
【随想】这个年轻人真的脑萎缩了?
病人女,37岁,间断性头痛史,其他无特殊,既往健康,脑萎缩较明显,需要不
为你推荐
我要睡懒觉做的晚餐2018年3月15日
带字图片伤感霸气 - 搜狗图片搜索
洋房檐槽落水管 彩铝型材天沟 辽宁东港 生产工艺 金属排水沟 - 八方
特步女鞋综训2021春季新款厚底减震休闲运动跑步跑步鞋
求这个黑人小哥的表情包
苏州古典名园留园风景
是德牧还是土狗啊
故宫彩绘家具,精美的罗汉床,扶手椅,长桌,每件都充满皇家风范