图知网
搜索
首页
热门推荐
图片分类
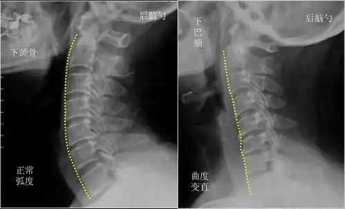
什么是健康颈椎该有的生理曲度,你颈椎还健康吗?
下载原图
相关图片
因为人们工作和娱乐等因素,一天大部分时间颈椎曲度实际上是
为什么颈椎生理曲度会变直会有什么严重后果吗
颈椎生理曲度变直不用愁,轻松搞定天鹅颈
颈椎生理曲度
颈椎生理曲度变直其实就是颈部曲度有问题了,我们知道,颈椎正常来讲有
颈椎生理曲度是指第45颈椎向前凸出的弧度,某些原因引起弧度消失时
为你推荐
黄渤携妻子参加家宴,基因强大全家共用一张脸,满墙茅台惹人眼|小欧
颜值的巅峰了 不能比较 美的各有千秋 两个的颜值都爱#颜值 #范冰冰
济州岛汉拿山国立公园好玩吗,济州岛汉拿山国立公园景点怎么样_点评
早期造型~肖战_腾讯网
教程详解,女性川字掌纹好不好呢?
地锅柴火土灶台304不锈钢柴火灶节能新式农村家用烧木柴大铁锅台户外
金色花边花纹png素材透明免抠图片-装饰效果-三元素3png.com
车辆上的安全气囊是如何使用的?_太平洋号