图知网
搜索
首页
热门推荐
图片分类
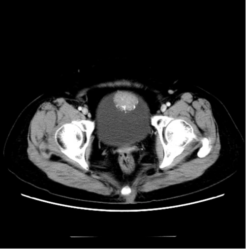
1.2o19年3月全腹平扫 增强ct,膀胱部分片3
下载原图
相关图片
【病例】膀胱癌1例ct影像表现
可显示肿瘤对膀胱壁浸润深度和范围,盆腔脏器与肿瘤的关系,但与ct相比
出现无痛性肉眼血尿,最后竟查出膀胱肿瘤!
ctu1.jpg
术前ct见膀胱左侧壁占位.
1月20日增强ctu ,膀胱部分片2
为你推荐
美女热依扎机场吊带半球美照
高清好看的男头像手绘简约成熟图片_男生动漫头像_头像屋
用废布料手工编织舒适漂亮的家居地垫
皇冠项链女玫瑰金图片
过年热闹"一场梦",元宵未至,农村人去村空,年味散去
活动作品幻界战线绝望王口哨节选片段
军人的伤疤:你见过他们的手么?