图知网
搜索
首页
热门推荐
图片分类
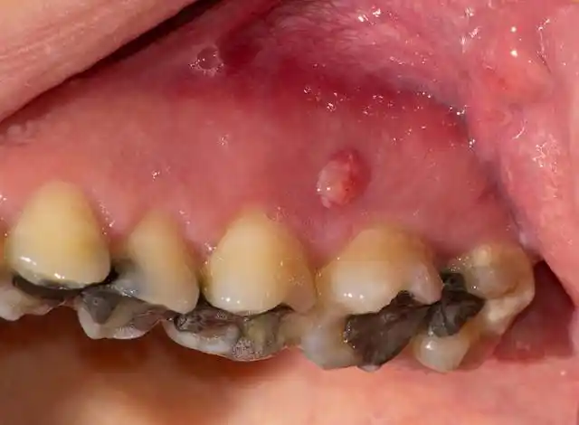
牙龈肿疼,今天早上起来发现肿的蛮大了.
下载原图
相关图片
还有两周该生了,牙龈肿的不成样,还化脓了好像
还有两周该生了,牙龈肿的不成样,还化脓了好像
自己刺破牙龈脓包会不会有问题?
【图】牙龈长脓包可以刺破吗 成年人牙龈脓肿是什么造成
牙龈肿痛有脓包怎么办67要这样处理才行
牙龈老是生脓包
为你推荐
佟丽娅饰演"西施",这演员阵容追定了)
努力提升自己.现在的你,是10年前你的决定,10年后的你,是 - 抖音
日系短发超a08少年感短发~可甜可盐75 日系短
给自己一份爱,一份温暖,只为今天快乐,不为昨天烦恼,自己照顾好自己
gucci古驰guiltyeaupourhomme罪爱悦源男士淡香水1788462
海军首批女水兵具备独立操纵舰船能力
有仁堂养肝草开胃草丝线根草龙须草养肝金草广东汤料5包共50小扎275克
今天要说一句我爱你宁波